AI 智能摘要
AI 正在思考中...
墨尔本:
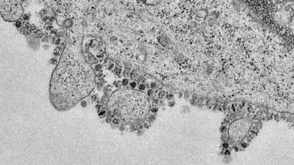
香港大学(University of Hong Kong)的科学家周五发布了放大的图片,该图片引发了引发全球卫生紧急状况的肺炎暴发的微生物原因。
新型冠状病毒的薄层电子显微照片显示了受感染细胞的一部分,该细胞在培养物中生长,病毒颗粒从细胞表面释放出来。
该大学的病理学临床教授约翰·尼科尔斯说,每个被感染的细胞都会产生成千上万种新的传染性病毒颗粒,然后继续感染新细胞。他与同事利奥·潘和马利克·佩里斯一起培养了这种病毒。
细胞中生长的2019年新型冠状病毒的电子显微镜图像
研究人员正在不同时间点研究样本,以更好地了解与其他冠状病毒相比,新的2019-nCoV病毒可能复制的差异。尼科尔斯说,引起严重急性呼吸道综合症(SARS)和中东呼吸道综合症的相关病毒已得到更广泛的研究。
尼古拉斯(Nicholls)是SARS的分离者,他说:“可以轻易将这些部分与无法获得该病毒的世界各地的研究人员共享”,也可以在生物安全实验室中进行研究和发展。病毒。
话题
冠状病毒
相关故事

谷歌与世卫组织携手遏制冠状病毒爆发
1分钟阅读。 2020年1月31日
